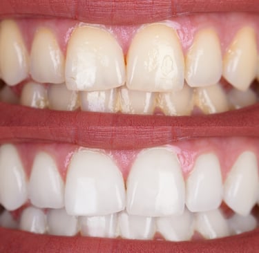
Pure Whitening – svetlejší úsmev šetrne a efektívne


Krásny biely úsmev patrí medzi prvé veci, ktoré si na človeku všimneme. Zuby však prirodzene tmavnú vplyvom stravy, kávy, čaju, červeného vína či fajčenia. Moderná stomatológia dnes ponúka bezpečné a šetrné riešenie – profesionálne bielenie zubov. Jednou z najefektívnejších metód je kombinované bielenie Pure Whitening, ktoré spája domáce bielenie s ambulantným zosilnením výsledku.
Táto metóda umožňuje dosiahnuť výrazne belší, no stále prirodzený úsmev bez poškodenia zubnej skloviny.
Ako funguje domáce bielenie Pure Whitening
Domáce bielenie Pure Whitening je založené na individuálne vyrobených nosičoch, ktoré presne kopírujú tvar vašich zubov. Do týchto nosičov sa aplikuje profesionálny bieliaci gél, ktorý postupne preniká do povrchových vrstiev skloviny a rozkladá pigmenty spôsobujúce zafarbenie zubov.
Výhodou tejto metódy je postupné a kontrolované bielenie, ktoré je veľmi šetrné k zubom a minimalizuje riziko citlivosti.
Priebeh ošetrenia
Celý proces bielenia prebieha v niekoľkých jednoduchých krokoch.
1. Konzultácia a odtlačky zubov
Pri prvej návšteve zhodnotíme stav vašich zubov a zhotovíme presné odtlačky. Na ich základe sa v laboratóriu vyrobia individuálne bieliace nosiče, ktoré dokonale sedia na vaše zuby.
2. Domáce bielenie
Po prevzatí nosičov dostanete aj profesionálne bieliace gély Pure Whitening.
Nosiče s gélom sa používajú počas 14 nocí, pričom gél postupne zosvetľuje zuby.
Gély sú uchovávané pri kontrolovanej teplote, aby si zachovali maximálnu účinnosť.
3. Ambulantné zosilnenie efektu
Pri kombinovanom bielení nasleduje na 15. deň ambulantné bielenie v ordinácii, ktoré výsledok ešte zvýrazní a zjednotí farbu zubov.
Táto kombinácia umožňuje dosiahnuť rýchlejší a intenzívnejší výsledok ako pri samotnom domácom bielení.
Výhody kombinovaného bielenia
Kombinácia domáceho a ambulantného bielenia prináša viacero výhod:
výraznejší výsledok ako pri jednej metóde
prirodzený odtieň bez neprirodzene bielych zubov
šetrnosť k zubnej sklovine
minimálne riziko citlivosti
rovnomerné vybielenie všetkých zubov
Pri správnej ústnej hygiene môže výsledok pretrvať niekoľko rokov.
Je bielenie bezpečné?
Ak je bielenie vykonávané pod dohľadom zubného lekára alebo dentálnej hygieničky, ide o bezpečný a overený zákrok. Používajú sa profesionálne gély s presne kontrolovanou koncentráciou účinných látok.
Ako dlho vydrží výsledok
Trvácnosť bielenia závisí najmä od životného štýlu a ústnej hygieny. Pri správnej starostlivosti môže výsledok vydržať 2 až 3 roky, niekedy aj dlhšie. Výhodou individuálnych nosičov je, že ich môžete neskôr použiť na jednoduché udržiavacie bielenie.
Pre koho je Pure Whitening vhodné
Kombinované bielenie Pure Whitening je vhodné pre pacientov, ktorí:
chcú dosiahnuť výraznejší bieliaci efekt
preferujú komfort domáceho bielenia
chcú prirodzene biely úsmev bez poškodenia zubov
Ak uvažujete nad bielením zubov a chcete bezpečný, efektívny a dlhodobý výsledok, kombinované bielenie Pure Whitening patrí medzi najmodernejšie riešenia v estetickej stomatológii.
